ポリリン ホワイトニング 口コミ

ミュゼホワイトニングでポリリンホワイトニングを受けてきたので口コミを紹介 アラサーちゃんの美容ブログ

ワンコインで気軽 ミュゼホワイトニングの口コミまとめ 悪評あり キレイネ 本音で語る ビューティーマガジン

ブレッシュホワイトニングの口コミと効果 歯が白くなるは本当

ガチ口コミ ポリリンキューブのデメリット 使っても効果がない リョウブログ

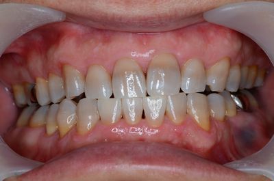
ポリリンプラチナホワイトニング 患者さまの声 ホワイト二ングサロン 登戸 向ヶ丘遊園 川崎市多摩区

ミュゼホワイトニングでポリリンホワイトニングを受けてきたので口コミを紹介 アラサーちゃんの美容ブログ

ポリリンホワイトニングシステムでも脱水効果があるのですが、「分割ポリリン酸Na」が脱水された部分に浸透し、 痛み・しみを軽減 します。 また「分割ポリリン酸」にはコーティング作用があるため、歯質を強化するばかりか、治療後の 外部からの着色.

薬用 ホワイトニングジェル 重曹はみがき ポリリン酸配合 30g 医療部外品 歯 白く 美白 ホワイトニング ブラッシング Cosmestreet 通販 Yahoo ショッピング

ミュゼホワイトニングでポリリンホワイトニングを受けてきたので口コミを紹介 アラサーちゃんの美容ブログ

ミュゼホワイトニングの ポリリンキューブ を30代メンズが使ってみた口コミとその効果

歯を白くする 方法 ホワイトニング セルフ 歯磨き 粉 差し歯 自宅 市販 対策 口コミ ヤニ 落とし方 口臭 薬用ティースナイトex 2 8g 医薬部外品 Sei143 1 美容と健康のミセルyahoo 店 通販 Yahoo ショッピング

体験レポート リジェンティス ポリリンホワイトexの効果 口コミ ホワイトニング

ミュゼホワイトニング 速攻美白 ポリリンキューブ ミント 歯磨き粉 の口コミ写真 By Jun さん 2枚目 美容 化粧品情報はアットコスメ

ホワイトニングミュゼ 口コミ 評判 ポリリンキューブ 本当に効果あるの ポリリン酸 ホームホワイトニング 自宅で歯を白くする方法 歯磨き粉 効果のあたアイテムの口コミ 効果をご紹介

ポリリンキューブ 速攻美白 ミュゼホワイトニングの口コミ 初めての投稿であまりにも嬉しくなり投稿して By ともこ 敏感肌 30代前半 Lips

歯を白くする方法 重曹 ポリリン酸 ホワイトニング セルフ 自宅 歯 差し歯 口コミ 薬用重曹ステインプロ ホワイトニングレーザー 2 8g Sei527 1 美容と健康のミセルyahoo 店 通販 Yahoo ショッピング

歯を白くする 方法 ホワイトニング セルフ 歯磨き 粉 自宅 市販 対策 差し歯 口コミ ヤニ 落とし方 口臭 薬用重曹ステインプロ 医薬部外品 30g Sei342 1 美容と健康のミセルyahoo 店 通販 Yahoo ショッピング

ミュゼホワイトニング 速攻美白 ポリリンキューブ ミント の口コミ一覧 おすすめ度の高い順 美容 化粧品情報はアットコスメ

津市内のホワイトニング おすすめポイントや口コミも紹介

ホワイトニング ミュゼ 口コミ ポリリン酸 ホワイトニング歯磨き粉 効果 黄色い歯を白く ポリリン酸 ホームホワイトニング 自宅で歯を白くする方法 歯磨き粉 効果のあたアイテムの口コミ 効果をご紹介

1000円以下 ポリリンキューブ 速攻美白 ミュゼホワイトニングのリアルな口コミ レビュー Lips

歯を白くする 方法 ホワイトニング セルフ 歯磨き 粉 自宅 市販 対策 差し歯 口コミ ヤニ 落とし方 口臭 薬用重曹ステインプロ 医薬部外品 30g Sei342 1 美容と健康のミセルyahoo 店 通販 Yahoo ショッピング

ミュゼホワイトニング 速攻美白 ポリリンキューブ ミント の口コミ写真 By Kこ さん 2枚目 美容 化粧品情報はアットコスメ

渋谷区のホワイトニング おすすめポイントや口コミもわかる

スーパーポリリンホワイトニング 18 05 07 いわき市の平中央歯科クリニック 予防歯科 ホワイトニング 小児歯科 入れ歯

ポリリンex ホームホワイトニング 口コミは このサイトから

ポリリンキューブ 速攻美白 ホームホワイトニング商品紹介 ホワイトニング専門歯科医院

楽天市場 口コミから大ヒット 送料無料 ポリリンホワイト ex 医薬部外品 薬用歯磨き 内容量19ml 1本約1ヶ月分 ポリリン酸配合 口臭対策 ホワイトニング Ecデザインショップ

ポリリンex ホームホワイトニング 口コミは このサイトから

人気の歯のホワイトニンググッズおすすめ25選 歯科医に聞いたアイテムの選び方も Ozmall

公式 スーパーポリリンホワイトニングについて スーパーポリリンホワイトニング

ホワイトニングを大阪の安い歯科でしよう おすすめ歯科クリニック選 Osakaええとこ案内

たまプラーザのホワイトニングなら口コミ評判のニコデンタルクリニック

ポリリンキューブ 速攻美白 ミュゼホワイトニングの使い方を徹底解説 ふにゃふにゃしたメラミンスポンジみたいなの By みーさん 混合肌 30代後半 Lips

ミュゼホワイトニング 速攻美白 ポリリンキューブ ミント の口コミ写真 By さきかかさん 2枚目 美容 化粧品情報はアットコスメ

May Nさんの口コミ ミュゼ スポンジハミガキのグレープフルー ホットペッパービューティーコスメ

ホワイトニング 大阪市西区の歯医者なら 新町プラザ歯科

楽天市場 口コミから大ヒット 送料無料 ポリリンホワイト ex 医薬部外品 薬用歯磨き 内容量19ml 1本約1ヶ月分 ポリリン酸配合 口臭対策 ホワイトニング Ecデザインショップ

ポリリンキューブ 速攻美白 ミュゼホワイトニングの口コミ 虫歯治療で歯科で指定された知覚過敏用の歯磨 By るな アトピー肌 10代後半 Lips

ミュゼホワイトニングの ポリリンキューブ を30代メンズが使ってみた口コミとその効果

ポリリンホワイトニングとは 公式 ミュゼホワイトニング

楽天市場 口コミから大ヒット 送料無料 ポリリンホワイト ex 医薬部外品 薬用歯磨き 内容量19ml 1本約1ヶ月分 ポリリン酸配合 口臭対策 ホワイトニング Ecデザインショップ

ホワイトニング ミュゼ 口コミ ポリリン酸 歯磨き粉 ポリリンホワイトニングジェル ポリリン酸 ホームホワイトニング 自宅で歯を白くする方法 歯磨き粉 効果のあたアイテムの口コミ 効果をご紹介

ミュゼホワイトニング 速攻美白ex ポリリンキューブex の口コミ写真 By もちもちこさとさん 1枚目 美容 化粧品情報はアットコスメ

ブレッシュホワイトニングジェル効果なし 口コミ評判はウソ 私の黄ばみに試した

診療科目 ホワイトニング 心斎橋デンタルクリニック

ポリリンホワイトニングジェルwxで歯は白くなる 口コミや評判を参考に 効果について徹底検証 おすすめの使い方もご紹介 Bonnie

ポリリンキューブ 速攻美白 ミュゼホワイトニングの口コミ 今回紹介するのがミュゼが出している速攻美白 By あき 脂性肌 10代後半 Lips

ブレッシュホワイトニングジェル効果なし 口コミ評判はウソ 私の黄ばみに試した

ポリリンジェルexの効果と経過写真 ホワイトニング歯磨き粉実体験記 評判 口コミ つれづれなるままに

ホワイトニング ミュゼ 口コミ Musee ホワイトニング ポリリンキューブ 効果 評判 ポリリン酸 ホームホワイトニング 自宅で歯を白くする方法 歯磨き粉 効果のあたアイテムの口コミ 効果をご紹介

口コミ微妙 ミュゼホワイトニングの効果は 評判 口コミはよかったけど歯が白くならない ミュゼホワイトニングは効果ない ホワイトニング評判 口コミ と体験談記

1000円以下 ポリリンキューブ 速攻美白 グレープフルーツの香り ミュゼホワイトニングのリアルな口コミ レビュー Lips

岐阜市平和通りの歯医者 長良きとう歯科 評判 口コミ多数

ポリリンキューブ 速攻美白 ミュゼホワイトニングの口コミ 歯の写真注意2枚目 使用前3枚目 使用後 By けーちよ 脂性肌 代前半 Lips

すまいるデンタルクリニックの院長 岡のブログ

公式 ミュゼホワイトニング 1本500円ポリリンホワイトニング

徹底比較 ホワイトニング歯磨き粉のおすすめ人気ランキング選 Mybest

体験レポート リジェンティス ポリリンホワイトexの効果 口コミ ホワイトニング

ミュゼホワイトニング 速攻美白 ポリリンキューブ ミント の口コミ写真 By さきかかさん 1枚目 美容 化粧品情報はアットコスメ

ポリリンキューブ 速攻美白 ミュゼホワイトニングの口コミ 歯の黄ばみが気になる方にミュゼホワイトニン By すかたん 普通肌 代前半 Lips

ポリリンホームホワイトニングキット ホームホワイトニング商品一覧 ホワイトニング専門歯科医院

公式 ミュゼホワイトニング 1本500円ポリリンホワイトニング

ミュゼホワイトニングとは 料金や店舗もご紹介 Melby メルビー

1000円以下 ポリリンキューブ 速攻美白 ミュゼホワイトニングのリアルな口コミ レビュー Lips

楽天市場 送料無料 ポリリンホワイト Ex 医薬部外品 薬用歯磨き 内容量19ml 1本 約1ヶ月分 歯磨き ポリリン酸配合 口臭対策 ホワイトニング Whitening トゥース リジェンティス Ecデザインショップ 未購入を含む みんなのレビュー 口コミ

ポリグリン ホワイトニングexを他商品と比較 口コミや評判を実際に使ってレビューしました Mybest

美肌リアルボイス口コミレビュー アラフォーママセブンの美容日記 アラフォーからは歯が命 歯が白くなるオーラルケアを ポリリンジェルex と ポリリン デンタルリンス を口コミレビュー

Amazon ミュゼホワイトニング ポリリンキューブ グレープフルーツの香り 1個 1回分 3個 ミュゼホワイトニング ビューティー 通販

八戸市最新ホワイトニングで白い歯 くぼた歯科 女性歯科医師のいる優しい歯科医院です

ポリリンキューブ 速攻美白 ミュゼホワイトニングの口コミ 憧れのまっ白い歯 ハミガキだけでは理想に By Kane 混合肌 代後半 Lips

今年のクリスマスは白い歯で勝負 ミュゼホワイトニングにお得な新コース誕生 株式会社ミュゼプラチナムのプレスリリース

すまいるデンタルクリニックの院長 岡のブログ

土日も診療の歯医者 たんの歯科 与野本町

痛くないホワイトニングはスーパーポリリンホワイトニングシステム

リジェンティス 薬用 ポリリンジェル Wxを他商品と比較 口コミや評判を実際に使ってレビューしました Mybest

ホワイトニング ミュゼの ホーム ホワイトニンググッズってどうなの 歯の黄ばみ 黒ずみをどうにかしたい ホワイトニング ミュゼ の 評判 評価 格安 感想 効果 口コミ クチコミ ミュゼ の ホワイトニング は ポリリン酸 が良いらしい

ミュゼホワイトニング 速攻美白 ポリリンキューブ ミント の商品情報 美容 化粧品情報はアットコスメ

ポリリンプラチナホワイトニング 患者さまの声 ホワイト二ングサロン 登戸 向ヶ丘遊園 川崎市多摩区

ホワイトニングってどれくらい効果があるの 自分の歯でずっと食べる為のホワイトニング手帖

歯を白くする方法 重曹 ポリリン酸 ホワイトニング セルフ 自宅 歯 差し歯 口コミ 薬用重曹ステインプロ ホワイトニングレーザー 2 8g Sei527 1 美容と健康のミセルyahoo 店 通販 Yahoo ショッピング

まいち 高橋真依子 愛用 ポリリン酸 ホワイトニング 歯の美白は ポリリンホワイトpro 口コミ ポリリン酸 ホームホワイトニング 自宅で歯を白くする方法 歯磨き粉 効果のあたアイテムの口コミ 効果をご紹介

私も白い歯になりたい ポリリンプラチナホワイトニングを体験してみる 岡崎デンタルオフィス公式ブログ

歯を白くする 方法 ホワイトニング セルフ 歯磨き 粉 差し歯 自宅 市販 対策 口コミ ヤニ 落とし方 口臭 薬用ティースナイトex 2 8g 医薬部外品 Sei143 1 美容と健康のミセルyahoo 店 通販 Yahoo ショッピング

ポリリンオーラルケアシリーズの歯のホワイトニング効果は 感想口コミ

ホワイトニング ミュゼ 口コミ ポリリン酸 ホワイトニング歯磨き粉 効果 黄色い歯を白く ポリリン酸 ホームホワイトニング 自宅で歯を白くする方法 歯磨き粉 効果のあたアイテムの口コミ 効果をご紹介

速攻美白ex ポリリンキューブex ミュゼホワイトニングの口コミ ミュゼホワイトニング速攻美白ex ポリリン By Aliko 乾燥肌 Lips

ミュゼホワイトニング 速攻美白 ポリリンキューブ ミント の口コミ写真 By ぱっぴー子さん 1枚目 美容 化粧品情報はアットコスメ

ポリグリン ホワイトニングexを他商品と比較 口コミや評判を実際に使ってレビューしました Mybest

Kobeホワイトニングの歯磨き粉に関する特徴と口コミ 歯の美白のヒントとおすすめのホワイトニング歯磨き粉まとめ

ポリリンキューブの口コミまとめ 21年最新版 ホワイトニング 歯 と検索したあなたへ

ミュゼホワイトニング 速攻美白 ポリリンキューブ ミント の口コミ写真 By Jun さん 1枚目 美容 化粧品情報はアットコスメ

奈良県内のホワイトニング おすすめポイントや口コミも紹介

ポリリンキューブの口コミまとめ 21年最新版 ホワイトニング 歯 と検索したあなたへ

1日で差が ホワイトニングで結果が出る歯医者さんの選び方